Scaling & Polishing

Home < Scaling & Polishing
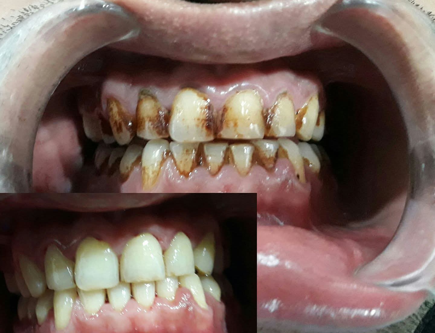
Scaling & POLISHING

"Refresh Your Smile with Professional Teeth Scaling & Polishing in F-8 Islamabad"

Why Regular Professional Cleaning Matters….

Keeping your teeth clean goes beyond brushing. Our skilled dentists remove stubborn plaque and tartar, even in spots your toothbrush can’t reach. After a gentle scaling, polishing leaves your teeth smooth, shiny, and brighter, helping your gums stay healthy and your breath fresh. It’s a simple step for a confident, radiant smile.

It plays a key role in protecting your overall oral health. Even with good brushing and flossing habits, plaque can harden into tartar in areas that are difficult to reach at home so regular cleanings help prevent common dental problems.

teeth scaling and polishing

Our Simple Procedure For Scaling & Polishing

Gentle, Effective, and Professional Care Your Teeth Deserve
examination in smile avenue

Oral Examination

A detailed check of your teeth and gums to identify plaque, tartar, or gum issues. Ensures targeted cleaning and early detection of dental problems.

Scaling

Using specialized ultrasonic or manual tools, hardened plaque and tartar are gently removed from teeth surfaces and below the gumline.

gentle cleaning

Polishing

Smoothens the teeth with a gentle rotary brush and polishing paste to remove surface stains. Restores a bright, shiny smile and smooth surfaces that resist future plaque buildup.

fluoride treatment

Fluoride or Aftercare Guidance

Application of fluoride (if needed) and personalized oral care instructions. Strengthens enamel, maintains oral hygiene, and prolongs the results of your cleaning.

Teeth Scaling Vs Polishing

Aspect Scaling Polishing
Purpose
Removes plaque, tartar (calculus), and bacteria from teeth and gums
Smoothens the tooth surface and removes surface stains
Main Benefit
Helps prevent gum disease and tooth decay
Makes teeth look cleaner and shinier
Procedure Type
A deep cleaning procedure
A finishing/ cosmetic cleaning procedure
When It Is Needed
When plaque and tartar build up below or above gums
Usually done after scaling for smooth teeth
Health vs Cosmetic
Mainly health-focused treatment
Mostly cosmetic improvement

Book Your Appointment for a Brighter, Healthier Smile

Fill This Form To Book
Your Dental Appointment


Frequently Asked Questions

Curious About Scaling & Polishing? Let’s Clear Things Up!

Most adults benefit from professional cleaning every 6 months. If you have gum issues, your dentist may recommend every 3–4 months.

Scaling is generally comfortable. Mild sensitivity is normal, and dentists use gentle techniques and numbing if needed — most patients feel minimal discomfort.

It removes surface stains caused by tea, coffee, or smoking, making teeth look brighter, but it is not the same as professional whitening.

No — when performed by a trained dentist or hygienist, scaling safely removes tartar without harming enamel and can improve gum health.

Your teeth feel smooth and clean, breath fresher, and gums healthier. You may have mild sensitivity for a day — normal and temporary.

Your Guide to Professional Dental Cleaning: Why It Matters and What Comes Next

Why Professional Cleaning Matters

Even cared brushing can’t remove all buildup. Plaque and tartar under the gumline can cause bleeding, sensitivity, or bad breath. Regular cleaning protects your teeth, prevents gum issues, and keeps your smile looking its best.

Instant & Long-Term Benefits

Scaling and polishing brighten teeth, smooth surfaces, and make daily brushing more effective. Over time, it reduces the risk of cavities, gum disease, and other health issues linked to oral bacteria.

Easy Care After Your Appointment

After cleaning, avoid staining foods for 24 hours and brush gently. With simple daily care and regular visits, your gums heal quickly, and your smile stays healthy and sparkling for months.

For expert care and a healthy smile, trust our leading Dental Clinic in Islamabad today for advanced, gentle dental solutions.

Opening Hours

Sunday: Closed

Monday: Open 24 Hours

Tuesday: Open 24 Hours

Wednesday: Open 24 Hours

Thursday: Open 24 Hours

Friday: Open 24 Hours

Saturday: Open 24 Hours

Areas Served

E-8, E-9 Islamabad

F-6, F-7 Islamabad

F-8, F-10 Islamabad

G-7, G-8 Islamabad

H-8, G-9 Islamabad

Contact

✉️smileavenue.pakland@gmail.com

📱+92 339 5183329

📍First floor, Pakland Medical Centre, Smile Avenue, PMC, Clinic#1, Markaz F-8, Islamabad

© 2026 Smile Avenue. All Rights Reserved.