TEETH WHITENING
DIY methods like baking soda, charcoal, or whitening strips often give uneven or temporary results.
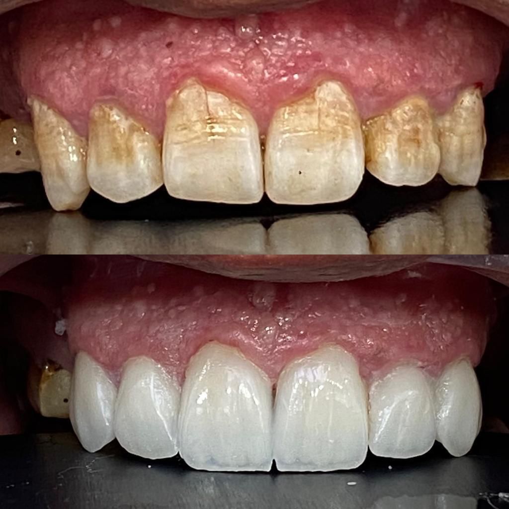
Professional teeth whitening uses clinically approved agents that penetrate enamel and break down deep stains from coffee, tea, smoking, and aging. The procedure is controlled by dentists, protecting gums and delivering a noticeably brighter smile safely in one session.
Our step-by-step professional whitening treatment removes deep stains and restores a naturally brighter smile.

Before whitening begins, the dentist carefully examines your teeth and gums to ensure they are healthy enough for the procedure. Existing stains, enamel condition, and sensitivity levels are evaluated to choose the most effective whitening approach for safe and optimal results.

Your teeth are gently cleaned to remove plaque and surface stains that may block the whitening gel. A protective barrier is then placed over the gums and soft tissues to prevent irritation and ensure the whitening solution works precisely on the enamel.

clinically approved whitening gel is applied to the teeth. This professional formula penetrates the enamel and breaks down deep stains caused by coffee, tea, smoking, and aging, gradually lifting discoloration and restoring a brighter, more radiant smile.

The whitening gel is activated and monitored carefully to achieve the desired shade safely. After the session, the gel is removed and your teeth are rinsed, revealing a noticeably whiter and refreshed smile with long-lasting results.




Results usually last 6 months to 2 years.
Longevity depends on habits like coffee, tea, smoking, and diet.
Good oral hygiene and regular dental cleanings help maintain results.
Yes, it is safe when performed by a qualified dentist.
Dentists use clinically approved whitening agents that protect enamel.
The procedure is carefully controlled to protect gums and teeth.
A typical session takes about 45–90 minutes.
Many patients see visible results after just one visit.
Coffee, tea, red wine, and smoking are common causes.
Poor oral hygiene allows plaque and stains to build up.
Aging naturally darkens tooth enamel over time.
Professional whitening gives long lasting and more noticeable results.
Dentists use stronger, clinically tested whitening agents.
The procedure is safer because gums and enamel are protected.
Teeth whitening works best for people with healthy teeth and gums who want to reduce stains caused by coffee, tea, smoking, or aging. A professional assessment matters because crowns, veneers, and fillings do not whiten the same way as natural teeth. Clear guidance here helps users know whether treatment is right for them.
Professional teeth whitening gives you a brighter smile with treatment planned around your teeth, gum health, and shade goals. Unlike one-size-fits-all products, it is carried out under dental supervision for safer, more even results. This helps patients feel confident about comfort, appearance, and the overall value of choosing expert care for noticeable improvement.
Your teeth whitening journey usually starts with a dental check to make sure your teeth and gums are suitable for treatment. Depending on the method, whitening may be done in one visit or with custom trays at home over several weeks. Explaining the process clearly helps users feel informed, comfortable, and more ready to book.
For expert care and a healthy smile, trust our leading Dental Clinic in Islamabad today for advanced, gentle dental solutions.
Opening Hours
Sunday: Closed
Monday: Open 24 Hours
Tuesday: Open 24 Hours
Wednesday: Open 24 Hours
Thursday: Open 24 Hours
Friday: Open 24 Hours
Saturday: Open 24 Hours
Areas Served
E-8, E-9 Islamabad
F-6, F-7 Islamabad
F-8, F-10 Islamabad
G-7, G-8 Islamabad
H-8, G-9 Islamabad
Contact
smileavenue.pakland@gmail.com
📱+92 339 5183329
📍First floor, Pakland Medical Centre, Smile Avenue, PMC, Clinic#1, Markaz F-8, Islamabad
© 2026 Smile Avenue. All Rights Reserved.
WhatsApp us